In the spring of 2021, Rachel Musetti 19Ox, 21C, received funding support from the Department of Environmental Sciences through the Lester Research Fund to pursue her project “Preliminary Analysis of Microplastic Uptake in Corbicula Fluminea.” The goal of Rachel’s project was twofold: attempt to document the presence of an invasive species on campus and determine if microplastics exist in Emory’s freshwater. Rachel’s reflection on her research experience and its impact at Emory are presented here.
Defining the research project: Throughout the pandemic, Dr. Wegner helped keep the Emory community connected through Zoom and email sessions. During one of our meetings, we were discussing my current classes like conservation biology and my passions for plastics and waste management and developed the concept of this project together. Although Emory students are regularly exposed to the subject of invasive species through courses like Ecology and Conservation biology, I had only been physically exposed to plant species on campus, like privet and kudzu. I was surprised to learn we had clams, especially invasive clams on campus, and I wanted to learn more.
The research consisted of documenting where the invasive species of Corbicula Fluminea (Asian Clams) was on campus, as there have been reports of their presence for years now. Knowing from previous existing research that the clams prefer sandy, silty deposits along stream banks, I surveyed 10 locations on Emory’s campus, and found the clams to be most abundant in Wesley Woods, as well as in Lullwater in Southfork Peachtree Creek from the dam onward toward Yerkes. I also found clams in Peavine Creek near the Emory Recycles Center and both the upper and lower fields. Surprisingly, I did not find clams in Candler Lake or the Biology Research Pond.

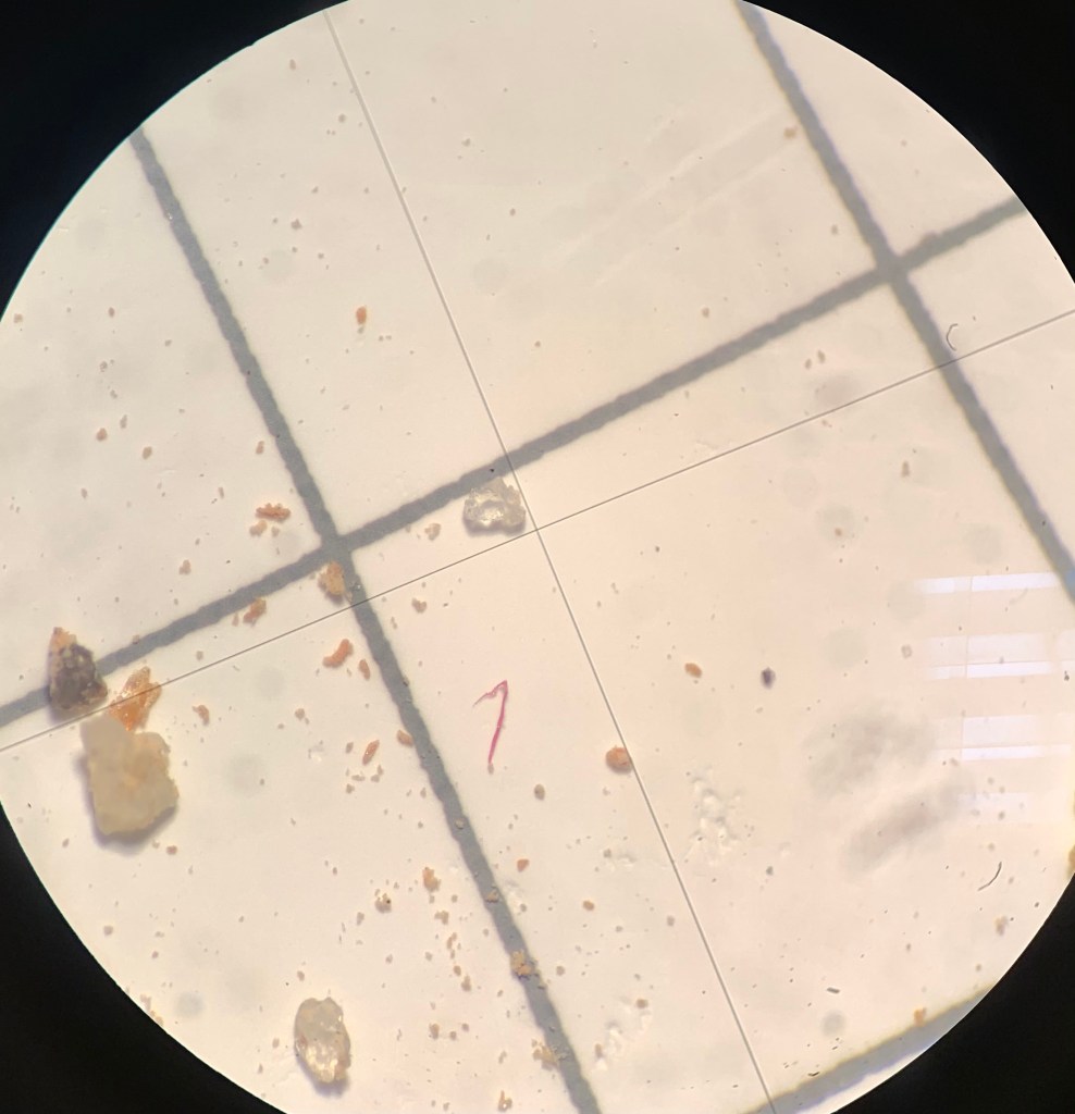
But, I couldn’t stop there. Clams are filter feeders and will take in water in water from the environment, retain the impurities in an attempt to collect food, and dispel the cleaned water back into the environment. Existing research has used clams to check for microplastics in oceans, and Dr. Wegner and I wanted to see if we could use them to identify plastics in Emory’s freshwater streams – Southfork Peachtree Creek and Peavine Creek.
Research conclusions: In the end, I found particles that look to be microplastics in every sample from Southfork Peachtree Creek, which included samples in Wesley Woods and throughout Lullwater following the dam toward Yerkes. Peavine Creek, however, did not reveal any microplastics, even though I took two samples near the Emory Recycles Center.
Dr. Wegner and I hope to use this preliminary analysis as grounds for future ENVS 232 labs to expose students to invasive species and microplastic research. My final submission to him included a lab draft. It makes me excited to know that future students will be able to share this experience with me. I hope that students will be better able to understand the issues associated with plastics.
What’s next for Rachel: I’ve had a passion for plastics and waste management for the majority of my life – whether or not I realized it. As a little girl, my dad tasked me with recycling as my weekly chore and we would go to the recycling center every week. As I got older and learned more about the plastic crisis, I wanted to take action. The summer I transitioned to Emory from Oxford College, I was able to join a nonprofit as a canvasser in between going to Namibia and Botswana for ENVS 446.
As a canvasser, I worked to engage residents across the state of New Jersey on issues regarding plastics. Together, we raised funds, compiled resources, and pressured state and local legislatures to pass bans on single-use plastics. While I was there, dozens of local ordinances were passed to restrict single-use plastics, and in September 2020, the State Assembly passed a bill to ban single-use plastics and Styrofoam with overwhelming support.
Following my work at Clean Water Action, I joined Emory’s Office of Sustainability Initiatives when I started on the Atlanta campus. I began as their zero waste intern and became the head of the Zero Waste Ambassadors. My work to reform the program into a virtual setting earned me the 2021 Robert S. Hascall Sustainability Innovator Award. After graduation, I’ll be moving to Nashville and serving a year with the AmeriCorps as a Recycling and Zero Waste Education Coordinator to continue a career in waste management with a focus on plastics.




